Ουρική αρθρίτιδα
- Πέμπτη, 6 Αυγούστου, 2015 - 11:23
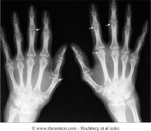
Πρόκειται για μια ρευματική νόσο που εισβάλει πολλές φορές θορυβοδώς με έντονο πόνο στις αρθρώσεις πρήξιμο ερυθρότητα και μερικές φορές χαμηλό πυρετό. Τα ενοχλήματα αυτά αναγκάζουν τον ασθενή να προσφύγει στο γιατρό για διάγνωση και θεραπεία της νόσου του. Η έναρξη πολλές φορές γίνεται τη νύχτα και μπορεί να έχει προηγειθεί πλούσιο γεύμα ή κατανάλωση αλκοόλ.Παλιά ονομαζόταν ποδάγρα λόγω της προτίμησης της στο μεγάλο δάκτυλο του ποδιού. Σήμερα όμως ξέρουμε ότι μπορεί να χτυπήσει πολλές αρθρώσεις [αστραγάλους γόνατα αγκώνες καρποί κ.α.]
Ποιά όμως είναι η φύση της νόσου; Η ουρική αρθρίτιδα οφείλεται σε μια διαταραχή του μεταβολισμού του ουρικού οξέος. Αυτό καθιζάνει στους αρθρικούς ιστούς [αλλά και αλλού π.χ. ουροποιητικό] και δημιουργεί φλεγμονή με αποτέλεσμα πόνο, δυσκινησία και αρθρική καταστροφή. Η υπερουριχαιμία [αύξηση του ουρικού οξέος στο αίμα] οφείλεται α] σε αυξημένη παραγωγή του [10%] από διάφορα αίτια [άγνωστα, διαταραχές ενζύμων αυξημένη πρόσληψη από τις τροφές, έντονος καταβολισμός νεοπλασίες, ψωρίαση αιμολυτική αναιμία,αλκοολισμός] και β] σε μειωμένη απέκριση του στους νεφρούς απο κακή νεφρική λειτουργεία, αφυδάτωση, σε νόσους όπως η υπέρταση, από φάρμακα όπως τα διουρητικά και τέλος από άγνωστα αίτια. Η ουρική δεν είναι μία νόσος αλλά έχει πολλές μορφές όπως 1] Η οξεία κρίση 2]Η υποξεία διαλείπουσα αρθρίτιδα με μεσοδιαστήματα ηρεμίας και 3] Η χρονία τοφώδης αρθρίτιδα που οφείλεται στην συσώρευση ουρικού οξέος στους ιστούς [ουρικοί τόφοι] Η ουρική αρθρίτιδα δε βλάπτει μόνον τις αρθρώσεις και τα περιαρθρικά μόρια όπως ορογόνους θυλάκους και τένοντες αλλά και άλλα όργανα όπως τα νεφρά, τις ουροφόρες οδούς [π.χ. ουρολιθίαση] Η διάγνωση της ουρικής αρθρίτιδας δεν είναι μια ¨απλή υπόθεση¨ και δεν εξαντλείται στη φυσιολογική ή μη εργαστηριακή τιμή του ουρικού οξέος στο αίμα. Τιμές κάτω από αυτήν μπορεί να προκαλέσουν κρίση και αντιστοίχα ψηλότερες τιμές δεν δημιουργούν πάντα συμπτώματα. Ο γιατρός συνεκτιμά πολλούς παράγοντες όπως κλινική εικόνα, τρόπος ζωής, κληρονομικότητα και συνυπάρχουσες παθήσεις. Μπορεί να παραγγείλει εξείδικευμένες εξετάσεις όπως μικροσκοπική εξέταση αρθρικού υγρού,ακτινογραφίες, μέτρηση ουρικού οξεος στα ούρα για να καταλήξει σε ασφαλή διάγνωση.
Τι γίνεται όμως με τη θεραπεία;
Η πρώτη φροντίδα του γιατρού είναι να αντιμετωπίσει την οξεία αρθρίτιδα με φάρμακα όπως η κολχικίνη τα αντιφλεγμονώδη η κορτιζόνη κ.α. Αφού η κρίση ξεπεραστεί αποτελεσματικά τότε θα συζητήσει με τον ασθενή τρόπους για τη πρόληψη μελλοντικών επεισοδίων με μείωση των επιπέδων του ουρικού οξέος στο αίμα. Αυτό μπορεί να γίνει με φάρμακα όπως η αλλοπουρινόλη αλλά και με τροποποιήση φαρμακευτικής αγωγής π.χ. διουρητικά που τυχόν βλάπτουν. Μεγάλη σημασία έχει και η αλλαγή του τρόπου ζωής. Η μείωση του σωματικού βάρους η αποφυγή του αλκοόλ των λιπαρών τροφών , της υπερβολικής κρεατοφαγίας, η αύξηση της κατανάλωσης υγρών είναι μερικά αποτελεσματικά μέτρα. Συμπερασματικά η σοβαρή άλλοτε αυτή νόσος μπορεί να αντιμετωπιστεί σήμερα αποτελεσματικά αν ο ασθενής προσέλθει έγκαιρα στο γιατρό και κάνει τη σωστή θεραπεία προκειμένου η νόσος να υφεθεί και ο ασθενής να μην οδηγηθεί σε αρθρική βλάβη και αναπηρία αλλά να παραμείνει υγιής και λειτουργικός για τον ευατό του και τη κοινωνία.
- Εισέλθετε στο σύστημα ή εγγραφείτε για να υποβάλετε σχόλια
Διαβάστε ακόμα
- Τι περιμένουμε από τη δημοτική επιτροπή που θα συναντήσει τον υπουργό Υγείας
26 Νοε. 2025 - 6:13 - "Η νησιωτική Ελλάδα χρειάζεται νέο κοινωνικό συμβόλαιο με τη νεολαία της"
22 Νοε. 2025 - 8:35 - Το “χαράτσι” του 2% για τον ΕΔΟΕΑΠ και η προσωπική επίθεση στον πρόεδρο του ΣΗΠΕ
19 Νοε. 2025 - 11:49 - "Η Δικαιοσύνη και η Αλληλεγγύη είναι ο δρόμος μας"
15 Οκτ. 2025 - 9:50 - Δ. Μπάιλας: "Η λογική του Χότζα"
19 Σεπ. 2025 - 19:38





Μ.Η.Τ. 232111